Федеральная сеть
стоматологических клиник
"РОДНЯ"
График работы
С 9:00 - 21:00
8 (499) 647 48 36
многоканальный телефонный номер
Главная
Акции
О нас
Преимущества
Обратный звонок
Контакты
Наши работы
Стоматология в Жулебино
|
Врачи-стоматологи
|
Отзывы
|
Фотогалерея
|
Наши работы
|
Выполненые работы в стоматологической клиники в Жулебино (сеть Родня)
Профессиональная гигиена зубов до и после
Эстетическая реставрация зубов до и после
Исправление прикуса до и после
Имплантация передних зубов до и после
Лечение поверхностного кариеса до и после
Наращивание зуба до и после
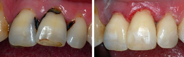
Пришеечный кариес у основания зуба до и после
Виниры на передние зубы до и после
Исправление прикуса до и после
Москва
Стоматология в
Алтуфьево
м. Алтуфьево
Алтуфьевское шоссе, д.93
Стоматология на
Войковской
м. Войковская
Ленинградское шоссе, д. 19/2
Стоматология в
Жулебино
м. Жулебино
Октябрьский пр.8 к.1
Стоматология в
Лихоборах
м. Лихоборы
Большая Академическая 75/2
Стоматология в
Медведково
м. Медведково
Заревый проезд, д.5, к.1
Стоматология на
Нагорной
м. Нагорная
Электролитный пр.3 стр.11
Стоматология на
Первомайской
м. Первомайская
7-я Парковая, д.15, стр.3
Подмосковье
Стоматология в
Люберцах
г. Люберцы
Октябрьский проспект, д.8 к.1
Стоматология в
Люберцах
г. Люберцы
поселок ВУГИ, дом 25
Стоматология в
Химках
г. Химки
ул. Молодёжная д.63 к.3
Россия
Стоматология в
Александрове
г. Александров,
ул. Восстания 1905-го года, 13А
Стоматология в
Белгороде
Белгород,
Белгородский проспект, д.54
Стоматология в
Иваново
г. Иваново,
Проспект Строителей, д.51
Стоматология в
Казани
г. Казань,
Проспект Ибрагимова 58, оф.203
Стоматология в
Казани
г. Казань,
ул.Рашида Нежметдинова, д.2
Стоматология в
Казани
г. Казань,
ул.Гвардейская, д.16 Б
Стоматология в
Казани
г. Казань,
ул. Гарифа Ахунова, д.2
Стоматология в
Казани
г. Казань,
ул. Берёзовая, д.27
Стоматология в
Калининграде
г. Калининград
ул. Александра Невского, 76в
Стоматология в
Санкт-Петербурге
г. Санкт-Петербург
5-я Красноармейская ул., д.3а
Стоматология в
Санкт-Петербурге
г. Санкт-Петербург
ул. Авиационная д.9
Стоматология в
Сыктывкаре
Республика Коми г. Сыктывкар
ул.Интернациональная 157
Стоматология в
Якутске
г. Якутск
ул. Петровского, д. 21, ТЦ Хит
Услуги
Диагностика зубов
Профессиональная гигиена
Лечение зубов
Стоматология на дому
Протезирование зубов
Стоматологическая хирургия
Имплантация зубов
Лечение десны
Детская стоматология
Исправление прикуса
Лечение кисты зуба
Отбеливание зубов
Эстетическая стоматология
Уникальные технологии