 Профессиональная гигиена зубов до и после |
 Эстетическая реставрация зубов до и после |
 Исправление прикуса до и после |
 Имплантация передних зубов до и после |
 Лечение поверхностного кариеса до и после |
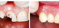
 Наращивание зуба до и после |
 Пришеечный кариес у основания зуба до и после |
 Виниры на передние зубы до и после |
 Исправление прикуса до и после |